симптомы, причины и лечение у взрослых
Отек легких – это патологическое, очень серьезное состояние, которое характеризуется выходом транссудата в легочную ткань. В результате нарушается газообмен, что приводит к серьезнейшим последствиям вплоть до летального исхода.
Неотложная помощь при отеке легких – единственное, что может повысить риски пациента на выживание и восстановление здоровья. Человеку в такой ситуации требуется немедленное участие врачей.
Сам по себе отек легких чаще всего является уже осложнением, которое сопутствует серьезным проблемам органов и систем организма, например, сердечно-сосудистой системы, ЖКТ и т.д.
Причины
На самом деле причин отека легких очень много – для разных заболеваний они свои. Назовем для примера несколько общих предпосылок:
- кардиосклероз после инфаркта, острый инфаркт миокарда;
- гипертония, аритмия;
- сердечная недостаточность;
- врожденные либо приобретенные пороки сердца;
- хронический бронхит, крупозная пневмония, бронхиальная астма;
- осложнения на фоне ОРВИ, кори, гриппа, скарлатины, коклюша и других болезней;
- недоношенность у новорожденных детей;
- серьезные проблемы с почками;
- черепно-мозговые травмы, операции на мозге и т.
д.; - вдыхание токсических веществ.
Эти и многие другие причины не являются непосредственными факторами, способствующими развитию отека легких. Но на фоне подобных состояний он может развиваться, что обязательно учитывается при госпитализации со всем вышеперечисленным.
Разновидности
Есть разные варианты отека легких:
- молниеносный. Он развивается крайне быстро, за несколько минут – исход в данном случае только летальный;
- острый. Симптомы нарастают в течение четырех часов, риск летального исхода очень высокий. Такой отек часто встречается при инфаркте, удушье, черепно-мозговых травмах;
- подострый. Развитие симптомов чередуется то активной, то более спокойной стадиями. Встречается при печеночной недостаточности;
- затяжной. Может развиваться в течение двенадцати часов, даже нескольких суток, и не иметь яркого проявления. Проявляет себя при сердечной недостаточности, а также хронических болезней легких.

Очевидно, что для каждого варианта требуются свои действия. Если пациента еще можно спасти, скорость реагирования тут будет ключевым фактором.
Симптомы
Описывать симптомы отека легких можно только общими моментами, поскольку отдельные виды патологии протекают со смазанными характеристиками. К признакам относятся такие моменты:
- сильная слабость;
- поверхностное, очень частое дыхание;
- сухой кашель;
сухие свистящие хрипы;- выраженная одышка;
- одутловатость лица и шеи;
- клокочущее дыхание и влажные хрипы;
- пена изо рта с розовым оттенком;
- заторможенность, спутанность сознания;
- поверхностное дыхание;
- нитевидный пульс.
Некоторые признаки отека легких противоречат друг другу по той причине, что начинаться все может с одного состояния, а заканчиваться другим.
Например, в течение нескольких минут или часов наблюдается учащенное дыхание, а затем оно ослабевает. При быстрых и наиболее опасных формах отека смерть пациента наступает от удушья (асфиксии).
У вас появились симптомы отека легких?
Точно диагностировать заболевание может только врач. Не откладывайте консультацию — позвоните по телефону +7 (495) 775-73-60Диагностика
Если симптомы отека легких не выражены, параллельно с неотложной помощью требуются дополнительные исследования:
- биохимический скрининг. Это исследование показателей крови;
- изучение газов крови;
- ЭКГ, УЗИ сердца;
- рентгенография области грудной клетки;
- катетеризация легочной артерии.
Во многих случаях диагностика отека легких возможна сразу же – только по тем признакам, которые проявляются у больного визуально и без дополнительного обследования.
Лечение
Единой программы для лечения отека легких нет и не может быть.
Экстренная помощь больному включает мероприятия по уменьшению венозного возврата к сердцу, подаче увлажненного кислорода. Нередко больного переводят на ИВЛ, может выполняться трахеостомия.
Также дополнительно вводятся разные препараты: анальгетики, диуретики, средства, снижающие давление в малом круге кровообращения, препараты для сердца, антибактериальные средства и многое другое. Далее лечение отека легких, если приступ снят, сводится к тому, чтобы лечить основное заболевание, вызвавшее эту патологию.
Прогнозы при отеке очень серьезные. В зависимости от причин отека легких, смертность может составлять от 20 до 90%. Чем раньше будет выявлена проблема, тем выше шансы на выздоровление. Но во многих случаях пациента может спасти только своевременное лечение тех заболеваний, которые способствуют возникновению патологии – такая профилактика отека легких, например, единственная возможность снизить риски молниеносной формы болезни, которая сама по себе уже смертельная и не поддается лечению.
Вопросы-ответы
Из-за чего происходит отек легких?
Факторов, которые способствуют развитию этой патологии, десятки. Они связаны с другими заболеваниями разных систем организма. Клинические рекомендации при отеке легких во многом обуславливаются ситуацией.
Может ли отек легких привести к смерти?
Да, риск летального исхода в случае такой патологии очень высок, а для молниеносной формы он является единственным возможным исходом событий. Это крайне опасное состояние, требующее немедленной профессиональной помощи.
Как лечить отек легких?
Это делают исключительно в медицинских учреждениях, чаще всего в реанимации. Все, что нужно знать про симптомы и лечение отека легких у взрослых либо детей, знают только врачи – патологию невозможно устранить без специальных знаний и навыков.
В чем особенности отека легких у детей?
В отличие от взрослых, у детей эта патология возникает намного реже по причине других болезней.![]()
Отек легких — Нарушения сердечно-сосудистой системы
-
Лечение выявленной причины
-
Диуретик внутривенно
-
Инотропы внутривенно
-
Вентиляционная поддержка
Первичное лечение включает в себя выявление причины; 100% кислород в кислородной маске с клапаном, пребывание в вертикальном положении; фуросемид 0,5–1,0 мг/кг внутривенно или путем непрерывной инфузии 5–10 мг/ч; нитроглицерин 0,4 мг под язык каждые 5 минут, с последующим внутривенным капельным введением по 10–20 мкг/минуту с увеличением дозы на 10 мкг/минуту каждые 5 мин, при необходимости до максимальной дозы 300 мкг/минуту, если систолическое артериальное давление составляет > 100 мм рт.
Специфическая дополнительная терапия зависит от этиологии:
-
При остром инфаркте миокарда или другом варианте острого коронарного синдрома необходимо проведение тромболизиса или прямой чрескожной коронарной ангиопластики со стентированием
-
При тяжелой артериальной гипертензии – сосудорасширяющие средства
-
При наджелудочковой или желудочковой тахикардии проводят кардиоверсию постоянным током
-
При выраженной фибрилляции предсердий кардиоверсия является предпочтительным методом.
Для замедления желудочкового ритма используют бета-облокаторы внутривенно, дигоксин внутривенно или осторожное внутривенное введение блокаторов кальциевых каналов
У пациентов с острым инфарктом миокарда задержка жидкости до появления отека легких обычно является нормой, поэтому применение диуретиков для них менее полезно, чем для пациентов с острой декомпенсацией хронической сердечной недостаточности, и может вызвать гипотензию. Если систолическое артериальное давление падает < 100 мм рт. ст. или развивается шок, применяют внутривенно добутамин и внутри-аортальную баллонную контрпульсацию.
Некоторые новые препараты, такие как внутривенные МНП (несиритид) и кальцийсенсибилизирующие инотропные препараты (левосимендан, пимобендан), веснаринон и ибопамин, могут иметь начальные положительные эффекты, но не улучшают результаты лечения по сравнению со стандартной терапией; также может увеличиваться уровень смертности. Серелаксин, рекомбинантная форма релаксина-2, гормона беременности, в настоящее время исследуется при острой СН в 3-ей фазе крупного испытания.
После стабилизации состояния пациентов назначают долгосрочное лечение СН.
Отек легких, описание заболевания на портале Medihost.ru
Причины и последствия отека легких
Отек легких – состояние, при котором в легких скапливается избыточная жидкость, что в итоге приводит к нарушениям нормального газообмена и дефициту кислорода.
Причины заболевания
Отек легких может развиться по нескольким причинам, среди которых:
- Заболевания сердечно-сосудистой системы (аритмия, инфаркт миокарда, патологии сердечных клапанов, застои крови и повышение давления в сосудах легких),
- Почечная и печеночная недостаточности,
- Закупорка легочных артерий тромбами,
- Воздействие токсинов, в том числе наркотических веществ,
- Тяжелая форма пневмонии,
- Травмы грудной клетки и пневмоторакс,
- Большие дозы радиационного облучения,
- Избыточное введение жидкости в легкие.
Виды
В зависимости от того, какой причиной вызван отек легких, различают:
- Кардиогенный отек – вызванный заболеваниями сердечно-сосудистой системы.
Как правило, кардиогенный отек связан с инфарктом миокарда. - Некардиогенный отек – вызванный иными причинами.
По скорости развития отека принято выделять:
- Острую форму – отек развивается стремительно в течение 2-3 часов,
- Затяжную форму – развивается до суток,
- Молниеносную форму – отек развивается неожиданно, моментально и отличается высоким риском летального исхода.
Признаки и симптомы
Отек легких часто развивается в ночное время, когда человек находится в лежачем положении. Первый симптом – одышка, ощущение нехватки воздуха, которые слегка ослабевают в положении сидя с наклоном вперед. Постепенно нарастает боль в грудной клетке, учащается пульс, на коже выступает холодный пот. Кожа также может приобретать синюшный оттенок. Появляется головокружение, чувство слабости во всем теле. Нередко эти симптомы сопровождаются страхом. Может возникнуть кашель, нередко – с выделением розоватой мокроты. Если отек продолжает развиваться, то постепенно нарастает спутанность сознания, давление падает, пульс ослабевает.
Диагностика
Диагноз «отек легких», помимо перечисленных симптомов, помогает установить общий осмотр, а также прослушивание легких при помощи фонендоскопа, измерение давление и пульса, определение степени насыщения крови кислородом, рентгенография грудной клетки. Для того, чтобы установить причину отека, могут быть использованы следующие методики:
- ЭКГ – для выявления инфаркта миокарда,
- Биохимический анализ крови – для определения нарушений в работе органов и систем, в том числе – оценка функционирования почек и печени.
Принципы лечения
Для купирования отека легких используется широкий спектр методик:
- Нормализация содержания кислорода в крови,
- Использование мочегонных средств для вывода избыточной жидкости,
- Сосудорасширяющие препараты – применяются для устранения нагрузки на сердце и понижения давления в легочных сосудах,
- При выявленном основном заболевании, приведшем к отеку легких, — терапия этого заболевания.

При слишком низком артериальном давлении также могут быть использованы медикаменты, способствующие повышению давления. Также зачастую используются антибиотики в качестве вспомогательного средства, которое призвано не допустить присоединения вторичной инфекции и развития осложнений отека легких.
Профилактика
Основной способ профилактики отека легких – это своевременное и грамотное лечение заболеваний, которые способны привести к развитию отека. Прежде всего, это касается заболеваний сердца, почек и печени. Поэтому необходимы регулярные консультации специалистов и периодические профилактические осмотры у врачей общей практики.
причины, симптомы, диагностика, лечение, профилактика
Патологическое состояние, характеризующееся развитием острой легочной недостаточности, обусловленное массивным выходом транссудата из капилляров в легочную ткань, что приводит к инфильтрации альвеол и резкому нарушению газообмена в легких.
ПричиныВ кардиологической практике отек легких может возникать как осложнение различных заболеваний сердечно-сосудистой системы, например, атеросклеротического и постинфарктного кардиосклероза, острого инфаркта миокарда, инфекционного эндокардита, нарушения сердечного ритма, гипертонической болезни, сердечной недостаточности, аортита, кардиомиопатии, миокардита и миксомы предсердия.
Очень часто отек легких может возникать на фоне врожденных и приобретенных пороков сердца, таких как аортальная недостаточность, митральный стеноз, аневризма, коарктация аорты, открытый артериальный проток и синдром Эйзенменгера.
Иногда отек легких может возникать при тяжелом течении хронического бронхита и крупозной пневмонии, пневмосклероза и эмфиземы, бронхиальной астмы, туберкулезной инфекции, актиномикоза, опухолей и легочного сердца. Возникновение данной патологии может наблюдаться при травматических повреждениях грудной клетки, которые сопровождаются синдромом длительного сдавливания, воспалительным поражением плевры и пневмотораксом.
В редких случаях отек легких может являться осложнением тяжелых инфекционных заболеваний, характеризующихся развитием выраженными симптомами интоксикации,
В некоторых случаях отек легких выступает осложнением инфекционных заболеваний. У новорожденных развитие данной патологии может возникать при тяжелой гипоксии, глубокой недоношенности, бронхолегочной дисплазии.
У более старших детей опасность отека легких существует при любых состояниях, характеризующихся нарушением проходимости респираторного тракта, или при механической асфиксии. Помимо этого, данная пульмонологическая патология может возникать при таких урологических патологиях, как острый гломерулонефрит, нефротический синдром, почечная недостаточность, в гастроэнтерологии – при кишечной непроходимости, циррозе печени, остром панкреатите, а в неврологии –при остром нарушении мозгового кровообращения, субарахноидальных кровоизлияниях, энцефалите, менингите, опухолях мозга, черепно-мозговых травмах и хирургических вмешательствах на головном мозге.
Скорость развития отека легких может быть разной и зависит от самых разных факторов. Иногда развитию патологии предшествуют продромальные признаки, такие как слабость, головокружение и головная боль, чувство стеснения в грудной клетке, тахипноэ, сухой кашель. Такие симптомы могут наблюдаться как за несколько минут, так и часов до развития патологии.
Интерстициальный отек легких развивается преимущественно ночью или в предутренние часы. Приступ могут инициировать физическая нагрузка, психоэмоциональное напряжение, переохлаждение, тревожные или угрожающие сновидения, резкий переход в горизонтальное положение. Заболевание сопровождается развитием внезапного удушья или приступообразного кашля, вынуждающих больного принять сидячее положение. На высоте приступа у больного возникает цианоз губ и ногтей, появляется холодный пот, экзофтальма, возбуждение и двигательное беспокойство.
Для альвеолярного отека легких характерно возникновение резкой дыхательной недостаточности, выраженной одышки, диффузного цианоза, одутловатости лица, набухания шейных вен. У больного появляется клокочущее дыхание, слышное на расстоянии, а аускультативно определяются разнокалиберные влажные хрипы. При дыхании и кашле изо рта больного происходит выделение пены, которая в большинстве случаев имеет розоватый оттенок, что обусловлено выпотеванием форменных элементов крови.
При подозрении на отек легкого важное диагностическое значение имеет оценка физикальных данных, исследование газового состава крови, биохимическое исследование показателей крови, электрокардиограмма, ультразвуковое исследование сердца и рентгенография органов грудной клетки.
ЛечениеЛечение отека легких основано на проведении экстренных мероприятий. Для облегчения состояния больному необходимо придать сидячее или полусидящее положение, затем выполняется наложение жгутов на конечности, проведение горячих ножных ванн, кровопускания, что позволяет уменьшить венозный возврат к сердцу. Подачу увлажненного кислорода при отеке легких проводится через пеногасители.
Подавление активности дыхательного центра проводится посредством введения наркотических анальгетиков, а для уменьшения объема циркулирующей крови и дегидратации легких – диуретики. Для снижения постнагрузки проводится введение нитропруссида натрия или нитроглицерина.
В терапии отека легких хороший эффект наблюдается от применения ганглиоблокаторов, которые обеспечивают быстрое снижение давления в малом круге кровообращения.
Профилактика отека легких основана на своевременном и корректном лечении любых заболеваний, которые могут стать причиной развития данного патологического состояния.
Отек легких
Отек легких это собирательный термин обозначающий патологическое скопление жидкости в легких [1].
Патология
Один из подходов в классификации отека легких заключается в выделении четырех основных категорий отека в зависимости от патофизиологии:
- отек за счет повышения гидростатического давления
- патофизиологически и радиологически выделяют две фазы развития отека за счет повышения гидростатического давления
- интерстициальный отек
- альвеолярный отек
- эти фазы идентичны как для отека при левосторонней сердечной недостаточности так и для перегрузки жидкостью
- патофизиологически и радиологически выделяют две фазы развития отека за счет повышения гидростатического давления
- отек за счет диффузного альвеолярного повреждения ведущего к повышению проницаемости сосудистой стенки
- отек за счет повышения проницаемости сосудистой стенки без диффузного альвеолярного повреждения
- смешанный отек за счет одновременного повышения гидростатического давления и измнения проницаемости сосудистой стенки
Причины
- кардиогенный отек легких
- левосторонняя сердечная недостаточность
- недостаточность митрального клапана [5,7]
- некардиогенный отек легких:
- перегрузка жидкостью (гипергидратация)
- отек легких при приступе бронхиальной астмы
- реперфузионный отек легких
- постобструктивный отек легких
- тромбоэмболия легочной артерии
- респираторный дистресс-синдром
- нейрогенный отек легких
- острое посттрансфузионное повреждение легких (TRALI)
- отек легких после трансплантации легких и т.
д.
Клиническая картина
Клинически при отеке легких определяется одышка, тахипноэ, цианоз, вынужденное положение – ортопноэ, отмечается беспокойство, обильное потоотделение, выделение пенистой мокроты розового цвета.
Диагностика
Рентгенография
Рентгенография грудной клетки и по сей день считается наиболее полезной с практической точки зрения модальностью позволяющей оценить отек легких [3-4]. Признаки используемые для оценки:
- признак оленьих рогов / венозное полнокровие верхних долей
- увеличение значений кардиоторакального индекса / оценка увеличения тени сердца полезна для поиска причины
- признаки интерстициального отека:
- расширение корней легких с нечеткими контурами (потерей структурности) в виде «крыльев бабочки»
- септальные линии / линии Керли
- утолщение междолевых щелей
- перибронхиальные муфты
- признаки альвеолярного отека легких:
- множественные расплывчатые, сливающиеся между собой очаговые тени
- плевральный выпот и скопление жидкости по ходу междолевых щелей
В целом прогрессирование рентгенологической картины отражает повышение давления измеряемого при помощи катетера в дистальной части легочной артерии (PCWP).![]()
Дифференциальный диагноз
Отек легких у пожилых людей: симптомы, профилактика
Сердечная мышца с возрастом начинает работать всё хуже и хуже, метаболизм замедляется, проходимость сосудистых каналов нарушается. Но некоторые процессы, связанные со старением, особенно опасны. Речь – об отёке лёгких у пожилых пациентов. Это заболевание стремительно развивается, остро протекает и может привести к смертельному исходу.
Причины развития отёка лёгких
Отёком называют синдром, при котором в интерстиции начинает накапливаться жидкость. Существует несколько разновидностей отёков: мембранный и гидростатический. При гидростатическом отёке уровень жидкости растёт из-за повышенного давления в кровеносных каналах.
Причин для появления такого заболевания может быть множество:
- Патологии сердечно-сосудистой системы. Если аномалия выражена очень ярко, то в лёгочном круге кровообращения будет неизбежно расти давление.
- Закупорка сосудов тромбами.
К появлению тромбов в сосудах склонны те пациенты, которые страдают от гипертонии и/или варикоза. Причём при прогрессии патологии старый тромб может оторваться, а на его месте образуется новый. К лёгочной артерии и её каналам тромб может попасть с кровотоком. Когда диаметр закупорки и сосудистого канала совпадёт, сформируется затор. - В теле человека присутствуют экзогенные и эндогенные токсины.
- Пациент страдает от заболеваний, при которых уменьшается концентрация протеина.
- Повышенное давление, гипертония.
- Краш-синдром.
Это далеко не все причины, по которым может развиться отёк лёгких у пожилых людей. Однако все перечисленные факторы являются наиболее распространёнными.
Этапы развития патологии
Основные этапы развития болезни:
- Повысится давление в капиллярах. Во время этого процесса проницаемость стенок капилляров, участвующих в лёгочном кровообращении, начинает резко уменьшаться, из-за чего ткань выводится в лёгочные интерстициальные ткани.
Со временем лёгочные альвеолы впитают в себя большое количество сторонней жидкости и потеряют способность участвовать в газообмене. Это причина, из-за которой при отёке лёгких пожилые пациенты испытывают приступы удушья, а их кожа синеет. - Постепенно онкотическое кровяное давление понизится.
- Альвеоло-капиллярная оболочка потеряет свою целостность.
Любые подозрительные симптомы, указывающие на обострение патологии, должны сопровождаться обращением к врачу. При первых же признаках нужно вызвать скорую помощь.
Симптоматика заболевания
У отёка лёгких есть несколько разновидностей. Заболевание можно условно разделить на четыре вида, в зависимости от скорости течения болезни:
- моментальный;
- острый;
- затяжной;
- подострый.
Спровоцировать развитие синдрома может порой даже эмоциональный фон человека, его чрезмерная активность и т. д.
Первичные симптомы отёка лёгких у пожилых:
- дыхание становится более частым;
- периодически пациента накрывает длительный кашель;
- во время дыхания или кашля слышны влажные хрипы, которые нарастают с каждым днём;
- проявляется сильная одышка.

Обычно на начальном этапе пациенты жалуются на состояние сдавленности в груди, затем в грудной клетке проявляется сильная боль, учащённое дыхание, а дальше появляется одышка. Вдыхать и выдыхать воздух становится трудно, поэтому пациент пытается откашляться.
На начальном этапе развития синдрома пациента мучает сухой кашель, который довольно быстро сменяется влажным. Изо рта выделяется мокрота с пенистыми розоватыми выделениями. При тяжёлых случаях мокрота отходит не только через ротовую полость, но и через носовую.
Одним из важнейших факторов, который позволяет точно выявить прогрессию синдрома, является клокочущее дыхание. В такой момент больные паникуют, испытывают чувство страха, мысли в голове путаются, а сознание затуманивается.
При моментальном или остром отёке лёгких в пожилом возрасте прогноз для жизни удручающий. Большинство пациентов спасти не удаётся. Но вот при затяжной или подострой форме шанс спасти больного гораздо выше.
Диагностические мероприятия
Для выявления синдрома проводят два вида диагностики: простую и дифференциальную.
Методы простой диагностики:
- Сбор информации и изучение клинической картины. Если больной находится в сознании, а отёк лёгких не протекает в острой форме, то врач для подтверждения диагноза обязан собрать анамнез, измерить пульс больного, его давление, использовать перкуссию грудной клетки.
- БАК-анализы. Они помогают выявить первичную причину развития заболевания (например, инфаркт).
- Анализ концентрации газов в кровотоке.
- Рентген грудной клетки. Это обычно помогает подтвердить или опровергнуть наличие жидкости в лёгочных тканях.
- ЭКГ. Помогает выявить аномалии сердечной мышцы.
- Катетеризация лёгочной артерии.
Окончательный диагноз лечащий врач может поставить только после подробнейшего изучения клинической картины пациента, проведения всех видов анализов и обследований.
Как оказать первую помощь
Первую помощь больному, у которого возник отёк лёгких, должны оказать окружающие:
- Прежде всего посадите пострадавшего поудобнее, его ноги должны свисать с сиденья.
Это поможет снизить количество поступающей в лёгочный круг крови. - В отдельных случаях можно дать пациенту медикаментозные препараты. Например, если отёк был спровоцирован заболеванием сердца, то необходимо положить под язык пострадавшему нитроглицерин. Могут также помочь мочегонные препараты, которые снижают венозный возврат (например, Фуросемид). Такое лекарство вводится внутривенно, но дозировка подбирается только врачом.
- Далее для снижения венозного возврата нужно наложить манжету на ногу или руку. Это частично пережмёт вены, оставив лишь небольшой приток воздуха под давящую манжету. Особенно полезно при отёке лёгких у лежачих пожилых больных.
- До приезда скорой помощи нужно дать пациенту успокоительные препараты (отлично подходит Реланиум). Во время этой процедуры количество катехоламинов в кровотоке снизится, венозный приток крови к сердечной мышце тоже уменьшится.
- Если у больного вдруг появилась пена, то нужно смочить ватный тампон в медицинском спирте и дать его понюхать больному.
Вдыхая пары этилового спирта в течение десяти минут, пациент сможет продержаться до приезда врачей скорой помощи. Однако порой реакция на спиртовые пары может быть совсем неожиданной – вместо облегчения больной может почувствовать, что ему не хватает воздуха. В таком случае тампон нужно сразу же убрать от носа.
Медицинская помощь
Экстренная терапия включает в себя следующие процедуры:
- Использование кислородной маски (оксигенация). Если случай экстренный, то подача кислорода через маску заменяется искусственной вентиляцией лёгких.
- Пациенту вводится морфин в качестве болеутоляющего и успокоительного средства.
- Вводится также Аминофиллин, который помогает вывести излишки натрия из организма, расширить бронхи и улучшить кровообращение в почечных железах.
- Одновременно с этим врачи контролируют артериальное давление пациента. Если оно превышает норму, то больному вводят нитропруссид натрия, а если АД слишком низкое, то вводится добутамин.

Дальнейшая терапия включает в себя приём медикаментозных препаратов. Врач может назначить:
- гормональные препараты;
- антибиотические средства;
- гепатопротекторы;
- антигистаминные средства.
Осложнения
Главное, чем грозит отёк лёгких у пожилого человека, – недостаток кислорода в тканях. Даже если болезнь была купирована, мозг переживёт серьёзные изменения, пострадают ткани сердца и лёгких.
Также среди других серьёзных последствий перенесённого отёка лёгких можно выделить:
- формирование застойных явлений в лёгких;
- ишемию органов;
- эмфизему.
Из-за кислородного голодания у пациента ухудшится память, в дневное время суток его постоянно будет клонить в сон, будет ощущаться общая вялость, настроение начнёт ухудшаться. За собственным состоянием придётся тщательно следить, чтобы вовремя заметить серьёзные ухудшения и обратиться к врачу.
Отёк лёгких в пожилом возрасте – это серьёзная патология.
Даже если болезнь проявилась в затяжной или подострой форме, риск развития осложнений после терапии велик. Моментальный или острый синдром практически не позволяет спасти пациента. Так что при первых симптомах, указывающих на развитие заболевания, нужно пройти обследование и обратиться к врачу, чтобы не было слишком поздно.
Диагностика и лечение отека легких у животных, ветцентр Воронцова
Отек легких – это патологическое состояние, при котором жидкая часть крови выпотевает и скапливается в межклеточном пространстве (интерстиции) легких или легочных альвеолах.
Легкие – основной орган дыхательной системы, именно в нем происходит газообмен. Правое и левое легкие образованы окруженными соединительной тканью бронхами, бронхиолами, альвеолярными ходами и альвеолами. Непосредственно газообмен в легких происходит в ацинусах. Это функциональная единица легкого, представленная бронхиолами, альвеолярными ходами и альвеолами. Альвеолы – это пузырьки, через которые идут капилляры, несущие кровь.
Внутренняя поверхность альвеол выстлана специфическими эпителиальными клетками – респираторным эпителием. Его клетки тесно прилежат к клеткам кровеносных сосудов, благодаря чему и возможно осуществление обогащения крови кислородом.
Причины отека легких и что происходит
Отек легких может развиваться по 3 основным механизмам:
- Повышенное гидростатическое давление в сосудах малого круга кровообращения (когда при остром повышении давления в капилляре нарушается его проницаемость и жидкая часть крови выходит в интерстициальную ткань легкого). Это происходит при различных пороках сердца, кардиомиопатии, эндокардите и других заболеваниях сердца, а также при объемных и быстрых внутривенных инфузиях.
- Снижение онкотического давления крови (в этом случае возникает разница между онкотическим давлением крови и онкотическим давлением межклеточной жидкости, и для того чтобы сравнять эту разницу, жидкость из сосуда выходит во внеклеточное пространство — интерстиций).
Такой механизм развивается при гипопротеинемии. - Повышение проницаемости капиллярно-альвеолярных мембран (в результате какого-либо повреждения нарушается белковая структура капиллярно-альвеолярных мембран с выходом жидкости в интерстициальное пространство). Этот процесс наблюдается при пневмонии, различных интоксикациях, синдроме диссеминированного внутрисосудистого свертывания крови.
Развитию отека легких также может способствовать почечная недостаточность, укус змеи, тепловой удар, электротравма, черепно-мозговая травма.
Виды отека легких
Таким образом учитывая механизм, по которому развивается патология, различают кардиогенный, некардиогенный и смешанный отек легких.
Кардиогенный (так называемый сердечный) отек легких развивается по причине увеличения гидростатического давления в системе малого круга кровообращения, ведущего к возникновению острой левожелудочковой недостаточности. При этом важна любая причина, приводящая к повышению давления в легочной артерии.
Быстро нарастающее гидростатическое давление в малом круге кровообращения приводит к патологическому выпотеванию жидкости в легочную ткань, а затем и в альвеолы. Чаще всего кардиогенный отек легких развивается на фоне артериальной гипертензии, кардиосклероза, различных пороков сердца.
Некардиогенный отек легких – это скопление жидкости в интерстициальной ткани легкого и альвеолах, не связанное с заболеванием сердца. Возникает скорее из-за повышения проницаемости капилляров, а не в результате повышения гидростатического давления в отличие от кардиогенного отека легких. Встречается главным образом у собак, реже у кошек. Наиболее распространенные причины включают в себя обструкцию верхних дыхательных путей (паралич гортани, инородные тела, абсцессы), черепно-мозговую травму, отравление дымом, сепсис, анафилактический шок у кошек.
Отек легких симптомы
Отек легких у животных – это критическое состояние, требующее неотложной помощи. Сопровождается заболевание следующими симптомами:
- одышка,
- учащенное дыхание,
- беспокойное поведение,
- цианоз (синюшность) слизистых оболочек ротовой полости,
- обильное выделение пенистой розовой мокроты, которую можно принять за рвотные массы или слюну,
- тахикардия,
- дыхание с открытым ртом у кошек.

Симптомы могут появиться внезапно в зависимости от причины, вызвавшей отек, и приводят к тяжелой дыхательной недостаточности, представляющей угрозу для жизни животного.
Как диагностируют отек легких у кошек и собак
Диагноз основывается на основании клинических признаков, аускультации (прослушивания) легких, данных рентгенографического исследования. При аускультации отмечаются диффузные влажные хрипы. При лабораторных исследованиях крови иногда отмечают лейкоцитоз, гиперазотемию, повышение активности печеночных ферментов.
При эхокардиографическом исследовании можно исключить кардиологические патологии, приводящие к отеку легких.
Золотым стандартом диагностики отека легких является рентгенография грудной полости в двух взаимно перпендикулярных проекциях. На рентгеновском снимке выявляют понижение прозрачности легочной ткани, расширение и «размытость» корней легких. Эти изменения могут быть как диффузными и затрагивать все доли легких, так и очаговыми, что встречается реже.
Заболевание дифференцируют от других патологий, сопровождающихся одышкой: коллапс трахеи, паралич гортани, обструкция верхних дыхательных путей, новообразования, тромбоэмболия у кошек.
Отек легких на рентгене у животных
Как лечить отек легких у кошек и собак
Лечение включает в себя:
- ограничение физической активности животного,
- минимизацию стресса,
- оксигенотерапию (ингаляция кислородом),
- медикаментозную поддержку.
Необходимо назначение диуретических препаратов (фуросемид, маннит), глюкокортикоидов (дексаметазон, преднизолон), в некоторых случаях целесообразно использование успокоительных препаратов (ацепромазин). Также показано использование вазодилататоров (нитроглицерин), бронхолитиков (эуфиллин).
При некардиогенном отеке легких проводится лечение основного заболевания, в частности лечение гипопротеинемии. Данные мероприятия направлены на купирование дыхательной недостаточности, коррекцию нарастающего кислородного голодания, профилактику шокового состояния.
Интенсивная терапия по поводу отека легких должна проводиться до полной стабилизации состояния животного. Чаще всего таким пациентам требуется стационарное наблюдение для постоянного мониторинга, возможности проведения дополнительных обследований и реанимационных мероприятий в случае ухудшения.
Прогнозы
Выздоровление и прогнозы зависят от основной причины, вызвавшей отек легких. В среднем выздоровление происходит чаще всего в течение 24-72 часов и далее не требует назначения специальной терапии. В тяжелых случаях развивается так называемый респираторный дистресс-синдром, который приводит к гибели животного.
Своевременное обращение за помощью для животных с явлениями одышки и немедленное оказание помощи таким пациентам необходимо для профилактики осложнений и улучшения прогнозов в лечении данного состояния.
Лечение отека легких в ветцентре Воронцова
При любых признаках отека легкого у вашего питомца — срочно обращайтесь к ветеринарному врачу.
Ветклиника Воронцова находится в ЮАО, недалеко от пересечения МКАД и Каширского шоссе. Точный адрес: Совхоз им. Ленина, дом 3а (смотрите схему проезда), метро Домодедовская, Орехово, Зябликово, Красногвардейская. Имеется стационар.
ВСЕ ЦЕНЫ И УСЛУГИ
Записывайтесь по телефонам:
+7(495) 740-48-59
+7(936) 001-03-04
Каковы признаки и симптомы кардиогенного отека легких (CPE)?
Автор
Али А. Совари, доктор медицины, FACP, FACC Лечащий врач, кардиолог-электрофизиолог, Медицинский центр Cedars Sinai и Региональный медицинский центр Святого Иоанна
Али А. Совари, доктор медицины, FACP, FACC является членом следующих медицинских обществ: American College кардиологии, Американский колледж врачей, Американская ассоциация врачей-ученых, Американское физиологическое общество, Биофизическое общество, Общество сердечного ритма, Общество сердечно-сосудистого магнитного резонанса
Раскрытие: нечего раскрывать.
Соавтор (ы)
Abraham G Kocheril, MD, FACC, FACP, FHRS Профессор медицины, Медицинский колледж Университета Иллинойса
Abraham G Kocheril, MD, FACC, FACP, FHRS является членом следующих медицинских обществ: American College of Cardiology , Центральное общество клинических и трансляционных исследований, Американское общество сердечной недостаточности, Общество кардиологической электрофизиологии, Американский колледж врачей, Американская кардиологическая ассоциация, Американская медицинская ассоциация, Медицинское общество штата Иллинойс
Раскрытие: Ничего не раскрывать.
Арнольд С. Баас, доктор медицинских наук, FACC, FACP Профессор медицины, отделение кардиологии, директор по стипендии по передовой кардиологии сердечной недостаточности и трансплантологии, Центр кардиомиопатии, Центр кардиомиопатии, Механическая поддержка кровообращения и Программа трансплантации сердца, Университет Калифорнии, Лос-Анджелес Медицинская школа Дэвида Геффена; Лечащий врач, Медицинский центр Рональда Рейгана UCLA
Арнольд С.
Баас, доктор медицины, FACC, FACP является членом следующих медицинских обществ: Американского кардиологического колледжа, Американского колледжа врачей, Американского общества эхокардиографии, Международного общества трансплантации сердца и легких.
Раскрытие информации: раскрывать нечего.
Главный редактор
Гьянендра К. Шарма, доктор медицины, FACC, FASE Профессор медицины и радиологии, директор лаборатории эхокардиографии взрослых, отделение кардиологии Медицинского колледжа Джорджии при Университете Августа
Гьянендра К. Шарма, доктор медицины, FACC, FASE является членом следующие медицинские общества: Американская ассоциация кардиологов индийского происхождения, Американская ассоциация врачей индийского происхождения, Американский колледж кардиологов, Американское общество эхокардиографии, Общество сердечно-сосудистого магнитного резонанса, Общество сердечно-сосудистой компьютерной томографии
Раскрытие: нечего раскрывать.![]()
Благодарности
Амаль Матту, доктор медицинских наук, FACEP, FAAEM, Директор программы, резидентура по неотложной медицине, содиректор, совместная программа ординатуры по неотложной медицине / внутренним болезням, отделение хирургии, отделение неотложной медицины, Школа медицины Университета Мэриленда
Амаль Матту, доктор медицины, является членом следующих медицинских обществ: Американской академии неотложной медицины, Американского колледжа врачей неотложной помощи и Общества академической неотложной медицины.
Раскрытие: Ничего не раскрывать.
Ари М. Перкинс, доктор медицины, Консультант, Отделение неотложной медицины, Гринвичская больница
Раскрытие: Ничего не раскрывать.
webmd.com»> Сат Шарма, доктор медицины, FRCPC, Профессор и руководитель отделения легочной медицины, факультет внутренней медицины, Университет Манитобы; Директор центра респираторной медицины, больница общего профиля Святого БонифацияСат Шарма, доктор медицинских наук, является членом следующих медицинских обществ: Американской академии медицины сна, Американского колледжа грудных врачей, Американского колледжа врачей-Американского общества внутренней медицины, Американского торакального общества, Канадской медицинской ассоциации, Королевского колледжа врачей и Хирурги Канады, Королевское медицинское общество, Общество интенсивной терапии и Всемирная медицинская ассоциация
Раскрытие: Ничего не раскрывать.
Джордж А. Стоуфер III, доктор медицины Генри А. Фоскью Заслуженный профессор медицины и кардиологии, директор по интервенционной кардиологии лаборатории катетеризации сердца, руководитель клинической кардиологии отделения кардиологии Медицинского центра Университета Северной Каролины
webmd.com»> Джордж А. Стоуфер III, доктор медицины, является членом следующих медицинских обществ: Alpha Omega Alpha, Американский колледж кардиологии, Американский колледж врачей, Американская кардиологическая ассоциация, Phi Beta Kappa и Общество кардиоангиографии и вмешательствРаскрытие: Ничего не раскрывать.
Франсиско Талавера, фармацевт, доктор философии Адъюнкт-профессор, Фармацевтический колледж Медицинского центра Университета Небраски; Главный редактор Medscape Drug Reference
Раскрытие информации: Medscape Salary Employment
Отек легких — Здоровье легких Святого Винсента
Отек легких — это скопление жидкости в легких.
Что такое отек легких?
Каковы причины отека легких?
Каковы признаки и симптомы отека легких?
Какие тесты можно использовать для диагностики отека легких?
Каковы возможные процедуры и лечение отека легких?
Каковы планы на будущее, если у вас был отек легких?
Что такое отек легких?
Отек легких — это скопление жидкости в легких.
Люди с отеком легких не могут нормально дышать, потому что жидкость заполняет их воздушные мешочки (альвеолы). В результате кислород не попадает в кровь, и организм не может избавиться от углекислого газа.
Отек легких, который возникает внезапно, требует неотложной медицинской помощи.
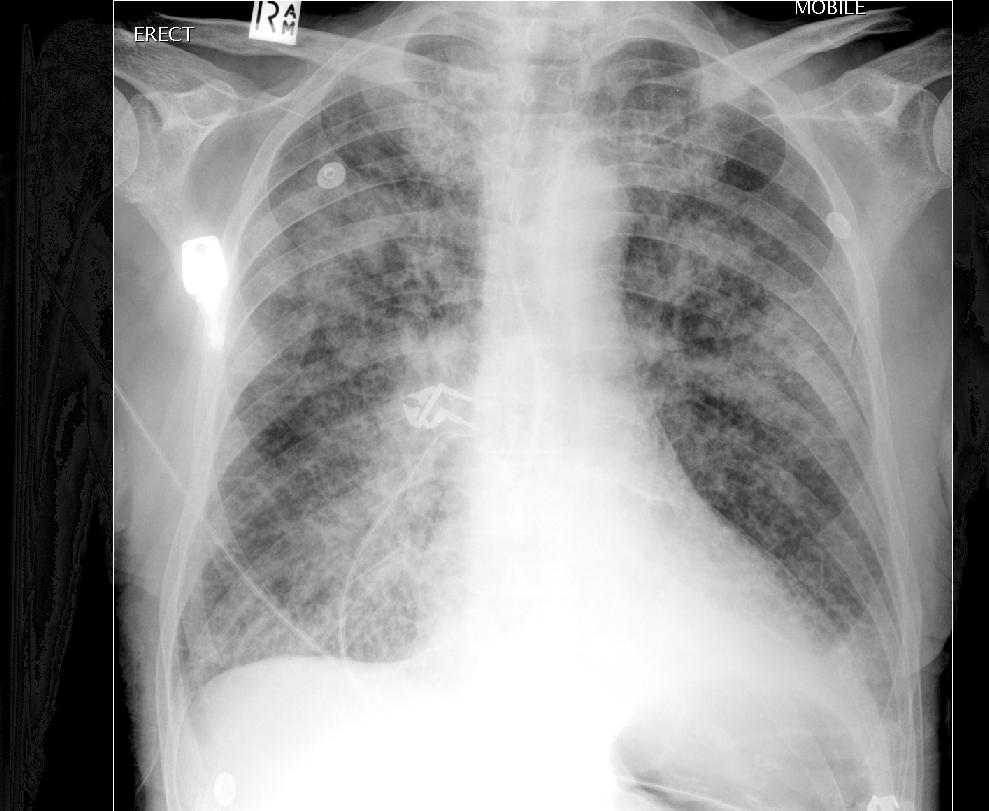
На изображении ниже показан отек легких. (Щелкните изображение, чтобы увеличить)
Каковы причины отека легких?
Отек легких может быть вызван:
- Химическое воздействие
- Передозировка лекарственными средствами или побочные реакции
- Тренировка на большой высоте
- Проблемы с сердцем — если сердце не может перекачивать кровь, жидкость может поступать обратно в легкие
- Заболевания или инфекции легких — жидкость может просачиваться в легкие, когда они воспалены
- На грани утопления
- Состояние нервной системы
- Органная недостаточность
- Тромбоэмболия легочной артерии
- Отравление дымом.

Каковы признаки и симптомы отека легких?
Отек легких, который возникает внезапно, требует неотложной медицинской помощи. Если у вас есть какие-либо из следующих симптомов и вы подозреваете, что у вас может быть отек легких, позвоните по телефону 000:
.- Головокружение
- Чувство слабости или головокружения
- Сероватая или синяя кожа
- Одышка
- Проблемы с дыханием
- Свистящее дыхание или затрудненное дыхание.
Отек легких также может быть хроническим и прогрессировать постепенно. Эта форма отека легких менее серьезна и может включать следующие симптомы:
- Быстрое увеличение веса, которое может сигнализировать о скоплении жидкости или сердечной недостаточности
- Опухшие ступни и ноги
- Усталость
- Проблемы с дыханием в положении лежа
- Просыпаясь ночью, чувствуя одышку
- Свистящее дыхание.

Какие тесты можно использовать для диагностики отека легких?
Если у вас есть симптомы отека легких, ваш врач будет искать:
- Аномальные звуки, исходящие от сердца и легких
- Кожа синего или сероватого цвета
- Признаки жидкости в легких
- Признаки опухания ног и живота.
Для диагностики симптомов могут потребоваться дополнительные тесты. Следующие тесты могут помочь диагностировать отек легких:
- Анализы крови — различные анализы крови могут определить причины отека легких и проверить уровни кислорода и углекислого газа в вашей крови
- Рентген грудной клетки — рентгеновский снимок для поиска жидкости в легких
- Коронарная ангиограмма — для проверки функции сердца и выявления проблем, которые могут вызывать отек легких.
- Эхокардиограмма — для проверки работы сердца и выявления плохого кровотока
- Электрокардиограмма (ЭКГ) — для проверки функции сердца и ритма
- Пульсоксиметрия — датчик, прикрепленный к пальцу или уху, для проверки уровня кислорода в крови.

Каковы возможные процедуры и лечение отека легких?
Если отек легких требует неотложной медицинской помощи, ваша медицинская бригада даст вам кислород и определит причину вашего состояния. Вам также дадут лекарства, которые помогут справиться с симптомами, пока ваше тело выздоравливает.
Каковы планы на будущее, если у вас был отек легких?
Если у вас может быть риск развития отека легких или он уже был, вам необходимо сосредоточиться на ведении здорового образа жизни.Делайте регулярные прививки, принимайте назначенные лекарства и обсуждайте с врачом стратегии профилактики.
Отказ от курения, правильное питание, поддержание здорового веса, регулярные физические упражнения и контроль артериального давления — важные шаги, которые вам нужно предпринять. Если у вас отек легких по какой-либо известной причине, например из-за высотных упражнений или приема наркотиков, избегайте этих занятий.
Поговорите со своим врачом, если вы беспокоитесь, что у вас может возникнуть отек легких.
Почему отек легких — это проблема
Отек легких — серьезное заболевание, которое возникает, когда избыток жидкости начинает заполнять воздушные мешочки легких (альвеолы). Когда альвеолы заполнены жидкостью, они не могут в достаточной степени добавлять кислород в кровь или удалять из нее углекислый газ. Таким образом, отек легких вызывает значительные затруднения дыхания и часто может стать опасной для жизни проблемой.
КАТЕРИНА КОН / НАУЧНАЯ ФОТОБИБЛИОТЕКА / Getty ImagesПочему отек легких — это проблема
В альвеолах происходит настоящая работа легких.В альвеолярных воздушных мешочках свежий воздух, которым мы дышим, поступает в непосредственной близости от капилляров, по которым кровь с низким содержанием кислорода поступает из тканей тела. (Эта бедная кислородом кровь только что перекачивается из правой части сердца в легкие через легочную артерию.)
Через тонкие стенки альвеол происходит критический газообмен между воздухом в альвеолярном мешочке и «отработанной» кровью в капиллярах.
Кислород из альвеол поглощается капиллярной кровью, а диоксид углерода из крови диффундирует в альвеолы.Кровь, снова богатая кислородом, переносится в левую часть сердца, которая перекачивает ее в ткани. «Использованный» альвеолярный воздух выдыхается в атмосферу, когда мы дышим.
Сама жизнь зависит от эффективного обмена газов в альвеолах.
При отеке легких некоторые альвеолярные мешочки заполняются жидкостью. Критический обмен газов между вдыхаемым воздухом и капиллярной кровью больше не может происходить в альвеолах, заполненных жидкостью. Если поражено достаточное количество альвеол, возникают тяжелые симптомы.А если отек легких станет обширным, может наступить смерть.
Симптомы
Отек легких может возникать остро, и в этом случае он обычно вызывает сильную одышку (одышку), а также кашель (который часто дает розовую пенистую мокроту) и хрипы. Внезапный отек легких также может сопровождаться сильным беспокойством и сердцебиением. . Внезапный отек легких часто называют «внезапным отеком легких», и чаще всего он указывает на внезапное ухудшение основного сердечного заболевания.
Например, острый коронарный синдром может вызвать внезапный отек легких, как и острая стрессовая кардиомиопатия.
Острый отек легких всегда требует неотложной медицинской помощи и может привести к летальному исходу.
Хронический отек легких, который часто наблюдается при сердечной недостаточности, имеет тенденцию вызывать симптомы, которые со временем усиливаются и ослабевают, поскольку поражается большее или меньшее количество альвеол. Распространенными симптомами являются одышка при физической нагрузке, ортопноэ (затрудненное дыхание в положении лежа), пароксизмальная ночная одышка (при ночном пробуждении с сильной одышкой), усталость, отек ног (отек) и увеличение веса (из-за скопления жидкости).
Причины отека легких
Врачи обычно делят отек легких на один из двух типов: отек легких и внесердечный отек легких.
Сердечный отек легких
Заболевания сердца — наиболее частая причина отека легких. Сердечный отек легких возникает, когда основная проблема с сердцем вызывает повышение давления в левой части сердца.
Это высокое давление передается обратно через легочные вены к альвеолярным капиллярам.Из-за повышенного давления в легочных капиллярах жидкость просачивается из капилляров в альвеолярное воздушное пространство, и возникает отек легких.
Практически любое заболевание сердца может в конечном итоге привести к повышению левостороннего сердечного давления и, как следствие, к отеку легких. Наиболее частыми видами сердечных заболеваний, вызывающими отек легких, являются:
При хроническом сердечном отеке легких повышенное давление в капиллярах может в конечном итоге вызвать изменения в легочных артериях.В результате может возникнуть высокое давление в легочной артерии, состояние, называемое легочной гипертензией. Если правая сторона сердца должна перекачивать кровь против повышенного давления в легочной артерии, со временем может развиться правосторонняя сердечная недостаточность.
Внесердечный отек легких
При некоторых заболеваниях альвеолы могут заполняться жидкостью по причинам, не связанным с повышенным сердечным давлением.
Это может произойти, когда капилляры в легких повреждаются и, как следствие, становятся «протекающими» и позволяют жидкости проникать в альвеолы.
Наиболее частой причиной несердечного отека легких такого рода является острый респираторный дистресс-синдром (ОРДС), который вызывается диффузным воспалением в легких. Воспаление повреждает альвеолярные стенки и способствует накоплению жидкости. ОРДС обычно наблюдается у тяжелобольных пациентов и может быть вызван инфекцией, шоком, травмой и рядом других состояний.
Помимо ОРДС, внесердечный отек легких также может быть вызван:
- Тромбоэмболия легочной артерии
- Болезнь на большой высоте
- Наркотики (особенно героин и кокаин)
- Вирусные инфекции
- Токсины (например, вдыхание хлора или аммиака)
- Неврологические проблемы (например, травма мозга или субарахноидальное кровоизлияние)
- Дымовое кровоизлияние вдыхание
- При потоплении
Диагноз
Очень важно быстро поставить правильный диагноз отека легких, и особенно важно правильно диагностировать первопричину.![]()
Диагностика отека легких обычно выполняется относительно быстро путем проведения физического обследования, измерения уровня кислорода в крови и рентгенографии грудной клетки.
Как только отек легких обнаружен, необходимо немедленно принять меры для выявления основной причины. В этих усилиях очень важна история болезни, особенно если в анамнезе есть болезни сердца (или повышенный сердечно-сосудистый риск), употребление наркотиков, воздействие токсинов или инфекций или факторы риска тромбоэмболии легочной артерии.
Электрокардиограмма и эхокардиограмма часто очень полезны для выявления основного заболевания сердца. Если есть подозрение на сердечное заболевание, которое не может быть продемонстрировано неинвазивным тестированием, может потребоваться катетеризация сердца. Если есть подозрение не на сердечную причину, может потребоваться ряд других тестов.
Внесердечный отек легких диагностируется, когда отек легких присутствует при отсутствии повышенного давления в левой части сердца.
Лечение отека легких
Непосредственной целью лечения отека легких является уменьшение скопления жидкости в легких и восстановление нормального уровня кислорода в крови.Кислородная терапия практически всегда проводится сразу же. При наличии признаков сердечной недостаточности срочно назначают диуретики. Лекарства, расширяющие кровеносные сосуды, например нитраты, часто используются для снижения давления в сердце.
Если уровень кислорода в крови остается критически низким, несмотря на такие меры, может потребоваться искусственная вентиляция легких. Механическая вентиляция может использоваться для увеличения давления в альвеолах и возврата части скопившейся жидкости в капилляры.
Однако окончательное лечение отека легких — будь то сердечное или не сердечное заболевание — требует выявления и лечения основной медицинской проблемы.
Слово Verywell
Отек легких — серьезное заболевание, вызванное избытком жидкости в альвеолах легких.
Чаще всего это связано с сердечными заболеваниями, но также может быть вызвано рядом некардиальных медицинских проблем. Его лечат путем быстрого устранения основной причины с помощью диуретиков, а иногда и искусственной вентиляции легких.
Отек легких | Пациент
Отек легких — это избыток водянистой жидкости в легких.
Людям с внезапным появлением отека легких обычно требуется срочная госпитализация. Лечение включает кислород, лекарства для удаления лишней жидкости из легких (диуретики) и другие лекарства, которые помогают сердцу работать более эффективно. Дальнейшее лечение будет зависеть от причины отека легких. Отек легких может быть опасным для жизни, особенно без неотложной медицинской помощи.
Что такое отек легких?
Легочные означает «дело с легкими», а отек означает чрезмерное скопление водянистой жидкости в организме. Отек — это то же самое, что отек — в разных странах его пишут по-разному. Итак, отек легких — это избыток водянистой жидкости в легких.
Жидкость скапливается в тканях и во многих воздушных мешках легких, затрудняя дыхание.
Отек легких — частое заболевание у пожилых людей, но очень редко у молодых.Около 1 из 15 человек в возрасте 75–84 лет и чуть более 1 из 7 человек в возрасте 85 лет и старше страдают сердечной недостаточностью.
Симптомы
Симптомы отека легких могут включать:
Другие симптомы могут включать беспокойство или беспокойство, снижение уровня сознания и чрезмерное потоотделение. У вас может быть голубой оттенок губ или пальцев.
Причины
Отек легких чаще всего вызывается сердечной недостаточностью (в этом случае это называется кардиогенным отеком легких).Однако это может быть вызвано другими состояниями, не влияющими напрямую на сердце (некардиогенный отек легких).
Отек легких может возникнуть по следующим причинам:
- Повышение давления в кровеносных сосудах легких. Это часто происходит при сердечной недостаточности, когда сердце перекачивает кровь менее эффективно.

- Повреждение очень мелких кровеносных сосудов (капилляров) в легких, в результате чего в легкие попадает больше жидкости. Это происходит при повреждении легких — например, при вдыхании дыма или пневмонии.
- Неспособность сосудов (лимфатических сосудов) выводить жидкость из легких.
Кардиогенная сердечная недостаточность : отек легких часто вызывается сердечной недостаточностью. Когда сердце не может эффективно перекачивать кровь в организм, количество крови, остающейся в венах, по которым кровь проходит через легкие к левой стороне сердца, увеличивается. Когда давление в этих кровеносных сосудах увеличивается, жидкость выталкивается в воздушные пространства (альвеолы) в легких. Эта жидкость снижает нормальное движение кислорода через легкие, что может привести к одышке.См. Брошюры «Анатомия сердца и дыхательной системы». Они объясняют функцию сердца и легких и взаимодействие между ними, которое обычно поддерживает стабильный уровень жидкости.
Сердечная недостаточность, приводящая к отеку легких, может быть вызвана рядом различных причин. Это могут быть:
Подробнее о сердечной недостаточности читайте в отдельной брошюре «Застойная сердечная недостаточность».
Некардиогенный отек легких : отек легких также может быть вызван другими заболеваниями, помимо сердечных, в том числе:
Как диагностируется отек легких?
Осмотр врача включает:
- Проверка частоты и ритма вашего сердцебиения (пульса).
- Проверка артериального давления.
- Проверка скорости вашего дыхания.
- Прослушивание с помощью стетоскопа аномальных шумов в легких, указывающих на наличие аномальной жидкости.
- Прослушивание шумов в сердце, указывающих на проблему с сердечными клапанами.
Возможные тесты
Сюда входят:
- Анализы крови, которые проводятся для поиска:
- Анемия.
- Функция почек
- Уровни солей в крови.

- Был ли отек легких вызван сердечным приступом.
- Вещество, называемое натрийуретическим пептидом, обычно повышается у людей с сердечной недостаточностью.
- Контроль уровня кислорода в крови с помощью пульсоксиметрии, при которой датчик помещается на тонкий участок кожи, например на кончик пальца.
- Рентген грудной клетки для выявления признаков сердечной недостаточности или любой другой проблемы с легкими, например пневмонии.
- Ультразвуковое сканирование сердца (эхокардиограмма), чтобы увидеть, есть ли проблемы с сердечной мышцей (такие как слабость, толщина, неспособность правильно расслабиться, негерметичные или узкие сердечные клапаны или жидкость, окружающая сердце).
- «Отслеживание сердца» (электрокардиограмма или ЭКГ) для поиска признаков сердечного приступа или проблем с сердечным ритмом.
Как лечится отек легких?
Людям с внезапным появлением отека легких обычно требуется срочная госпитализация.
Им требуется лечение кислородом (если уровень кислорода в организме низкий), лекарства для удаления лишней жидкости из легких (диуретики) и другие лекарства, которые помогают сердцу работать более эффективно. Эти лекарства обычно вводятся через вены (внутривенно или внутривенно).
Дальнейшее лечение будет зависеть от причины отека легких. См. Также отдельную брошюру «Застойная сердечная недостаточность».
Также необходимо срочное лечение причины отека легких, например, лечение сердечного приступа, высотной болезни или острого повреждения почек.
Если кислород и лекарственные препараты не помогают лечить отек легких, может потребоваться использование аппарата искусственной вентиляции легких или других методов для облегчения дыхания, пока отек легких не пройдет.
Есть ли осложнения?
Если отек легких продолжается, он может вызвать повышение давления в правой части сердца и, в конечном итоге, вызвать отказ правого желудочка. Отказ правого желудочка может вызвать жидкий отек ног (отек), жидкий отек живота (живота), называемый асцитом, а также застойные явления и отек печени.
Перспективы
Перспективы (прогноз) зависят от причины отека легких. Отек легких может проходить быстро или медленно.Однако это также может быть опасным для жизни, особенно без неотложной медицинской помощи.
Острый отек легких | Cath Lab Digest
Donna Gagne, RCIS, Медицинский центр штата Мэн, Портленд, штат Мэн
Острый отек легких — это опасное для жизни состояние, которое может возникнуть внезапно и в любой момент во время процедуры катетеризации сердца. Его также часто называют «внезапным» отеком легких. Бригада катетерической лаборатории должна распознать симптомы, диагностировать причину и быстро вылечить состояние, чтобы стабилизировать состояние пациента.В этой статье мы объясним причины и методы лечения внезапного отека легких у пациентов, которым проводится катетеризация сердца.
Вспышка отека легких — это развитие респираторного дистресса, связанного с быстрым накоплением жидкости в интерстиции легких (ткань и пространство вокруг воздушных мешочков легких), вторичное по отношению к повышенному давлению наполнения сердца.
Быстрый отек легких возникает при возникновении определенных заболеваний, которые, в свою очередь, вызывают внезапную закупорку легких.Вспышка отека легких также может возникнуть в результате нарушения нормального соотношения давления и объема во время сердечного цикла.
Обычно альвеолярное ложе в легких служит для защиты от скопления жидкости. Альвеолы обладают очень низкой проницаемостью для жидкости и белка. Любая жидкость, скопившаяся в альвеолах, постоянно всасывается обратно в интерстиций альвеолярными эпителиальными клетками и выводится из интерстиция легких по лимфатическим сосудам. Когда возникает внезапный отек легких, наблюдается нарушение проницаемости альвеолярного ложа.Альвеолы становятся более проницаемыми, позволяя жидкости проникать в пространство альвеол.
Причины
Причины внезапного отека легких включают:
- Сердечная недостаточность в результате систолической или диастолической дисфункции
Систолическая дисфункция возникает при меньшем движении крови вперед, вызывая увеличение диастолического объема и диастолического давления, которое ускоряет закупорку сосудов легких и приводит к отеку легких.
Диастолическая дисфункция возникает, когда миокард менее податлив.Это нарушение расслабления левого желудочка приводит к увеличению конечного диастолического давления, которое вызывает повышение венозного давления и приводит к закупорке сосудов легких.
Коронарная ишемия может вызывать систолическую и диастолическую дисфункцию или острую регургитацию митрального клапана.
- Острый инфаркт миокарда с повышенным конечным диастолическим давлением и низкой фракцией выброса
- Гипертония
Гипертензия может вызвать обострение диастолической дисфункции.
- Учащиеся сердечные ритмы
- Острая аортальная регургитация
- Острая регургитация митрального клапана
- Синдром Пикеринга (двусторонний стеноз почек)
- 26 почечный стеноз
- 26 Конечная стадия почечной артерии Почечная недостаточность на поздних стадиях может привести к задержке жидкости и повышению артериального давления, что предрасполагает пациента к внезапному отеку легких.

Симптомы
Симптомы у пациента, у которого развивается внезапный отек легких, могут включать пенистую мокроту, кашель, одышку, тахипноэ, потоотделение, изменение психического статуса, снижение насыщения кислородом и чувство надвигающейся гибели или утопления.
Лечение
Целью лечения кардиогенного внезапного отека легких является максимальное улучшение функции сердца за счет уменьшения сердечной работы и внутрисосудистого объема. Следующие процедуры снизят внутрилегочное давление, позволяя лимфатической системе выводить жидкость из альвеолярного пространства.
Медикаментозное лечение внезапного отека легких включает фуросемид, нитроглицерин, нитропруссид, морфин и кислород. Фуросемид действует как сосудорасширяющее и мочегонное средство.Нитроглицерин — сосудорасширяющее средство, которое снижает преднагрузку, а в более высоких дозах может вызвать уменьшение постнагрузки, улучшая сердечный выброс. Нитропруссид — это сбалансированный венозный и артериальный расширитель, который снижает преднагрузку и постнагрузку, и, следовательно, кровяное давление.
Морфин снижает отек легких и артериальное давление за счет расширения вен. Морфин следует использовать с особой осторожностью, поскольку он может вызвать угнетение дыхания. Лицевая маска O2 без ребризера на 15 литров может улучшить насыщение кислородом. Если пациент не реагирует на агрессивное лечение, может потребоваться помощь в обеспечении проходимости дыхательных путей.Резюме
Вспышка отека легких — это неотложная медицинская помощь в лаборатории катетеризации сердца, которая может быстро привести к дыхательной недостаточности, остановке сердца и смерти. Бригада катетерической лаборатории должна уметь быстро распознавать и лечить внезапный отек легких, так как от этого может зависеть жизнь пациента.
Благодарности. Особая благодарность доктору Дэвиду Берки и Лизе Диттрих, RCIS, за их помощь в доработке этой статьи.
С Донной Ганье можно связаться по адресу donnagagne @ me.com.
Ссылки
- Ware LB, Matthay MA.
Клиническая практика. Острый отек легких. N Engl J Med 2005; 353: 2788. - Римольди С.Ф., Юзефпольская М., Аллеманн Ю., Мессерли Ф. Вспышка отека легких. Prog Cardiovascular Dis 2009; 52: 249.
- Messerli FH, Bangalore S, Makani H, ET al. Вспышка отека легких и двусторонний стеноз почечной артерии: синдром Пикеринга. Eur Heart J 2011; 32: 2231.
- Pierard LA, Lancellotti P. Роль ишемической митральной регургитации в патогенезе острого отека легких.N Engl J Med 2004; 351: 1627.
Отек легких: краткосрочный по сравнению с хроническим
Возможные осложненияОтек легких, который не лечить, может повысить давление в легочной артерии, в конечном итоге ослабляя правый желудочек сердца и вызывая его отказ. Повышенное давление возвращается в правое предсердие сердца, а затем в другие части тела. Отсюда это может вызвать:
- • Отек нижних конечностей и живота
- • Плевральный выпот: скопление жидкости в мембранах, окружающих легкие
- • Застой и отек печени
- • В случае острого отека легких отсутствие лечения может привести к летальному исходу.
В некоторых других это может быть смертельным даже при лечении
После процесса диагностики, который может включать один или несколько тестов, кислород обычно является первым шагом для лечения отека легких. Это должно облегчить симптомы, и ваш врач будет использовать это время, чтобы контролировать уровень кислорода. Возможно, вам придется воспользоваться аппаратом искусственной вентиляции легких, чтобы облегчить дыхание.
Другие лекарства для лечения могут включать:
- • Снижатели предварительной нагрузки: лекарства, снижающие давление, вызванное попаданием жидкости в сердце и легкие
- • Морфин: наркотик, который можно использовать для снятия одышки и беспокойства, хотя его риски могут перевешивать его преимущества, и многие врачи будут использовать другие лекарства
- • Снижатели постнагрузки: лекарства, расширяющие кровеносные сосуды и снимающие часть давления с желудочков сердца
- • Лекарства от кровяного давления: если у вас высокое кровяное давление, когда у вас развивается отек, вам дадут лекарства, чтобы контролировать его.
То же самое верно, если у вас низкое кровяное давление.
В случаях, когда отек легких вызван другим заболеванием, ваш врач лечит это основное заболевание.
Если вы когда-либо поднимались или путешествуете на большой высоте и испытываете симптомы, связанные с отеком, спуск на высоту 2000–3000 футов должен уменьшить эти симптомы, а также снизить физическую активность и согреться. Другие методы лечения отека легких, связанного с высотой, включают:
- • Кислород или переносная барокамера (имитирует спуск в течение нескольких часов, пока вы действительно не сможете спуститься)
- • Нифедипин: лекарство, снижающее давление в легочных артериях
- • Спасение: при серьезных симптомах может потребоваться помощь вертолета или другая помощь при спуске.
- • Некоторые альпинисты принимают рецепты, такие как ацетазоламид или нифедипин, для лечения или предотвращения симптомов отека легких — это следует начинать как минимум за день до восхождения.

Отек легких не всегда можно предотвратить, но предотвращение сердечно-сосудистых заболеваний может помочь снизить риск.Некоторые области включают:
- • Контроль артериального давления
- • Следите за уровнем холестерина
- • Не курите и бросьте курить, если вы курите
- • Соблюдайте здоровую для сердца диету (с низким содержанием соли, сахара и твердых жиров, с высоким содержанием фруктов, овощей и цельного зерна)
- • Регулярно делайте физические упражнения
- • Поддерживайте нормальный вес
- • Управляйте стрессом
Если вы путешествуете или поднимаетесь на большую высоту, акклиматизируйтесь медленно. Некоторые альпинисты для профилактики принимают рецептурные лекарства.
Ваш врач может предложить дополнительные рекомендации или варианты лечения отека легких, краткосрочного или хронического.
Отек легких — что нужно знать
- CareNotes
- Отек легких
Этот материал нельзя использовать в коммерческих целях, в больницах или медицинских учреждениях.
Несоблюдение может повлечь судебный иск.ЧТО НУЖНО ЗНАТЬ:
Что такое отек легких?
Отек легких — это скопление жидкости в альвеолах (воздушных мешочках) легких.Это может затруднить дыхание. Отек легких может быть опасным для жизни, если ваше тело не может получать необходимый ему кислород.
Что вызывает отек легких?
- Сердечные заболевания, такие как аномальное сердцебиение, повреждение сердечного клапана, высокое кровяное давление, сердечный приступ или сердечная недостаточность
- Инфекция легких, травма или закупорка дыхательных путей
- Торакоцентез (процедура по удалению жидкости вокруг легкого)
- Путешествие на большие высоты, например в горы, приводит к высокогорному отеку легких (HAPE)
- Реакция на переливание крови
- Определенные лекарства, например те, которые используются для лечения воспалений, и запрещенные препараты
Каковы признаки и симптомы отека легких?
- Свистящее дыхание, затрудненное дыхание или учащенное дыхание, чем обычно
- Дискомфорт или тяжесть в груди
- Откашливается розовая пенистая мокрота (слюна)
- Усталость или частое чувство потребности в отдыхе
- Бледные или голубые ногтевые ложа и губы
- Учащенное сердцебиение или потливость по неизвестной причине
- Чувство тревоги
Как диагностируется отек легких?
Ваш лечащий врач спросит о ваших признаках и симптомах.
Он осмотрит вас, послушает ваше сердце и легкие и проверит ваше кровяное давление. Он спросит, есть ли у вас какие-либо заболевания и какие лекарства вы принимаете. Также вам могут понадобиться следующие тесты:- Анализы крови: Образец вашей крови может быть отправлен в лабораторию для анализа. Это может помочь найти причину ваших симптомов. Их также можно использовать, чтобы убедиться, что органы, например почки, работают правильно.
- Газы крови: Это также называется газом артериальной крови или ABG.Кровь берется из артерии (кровеносного сосуда) на запястье, руке или паху. Ваша кровь проверяется на содержание в ней кислорода и углекислого газа. Результаты могут сказать медицинским работникам, насколько хорошо работают ваши легкие.
- Рентген грудной клетки: Это изображение ваших легких и сердца. Медицинские работники используют его для поиска признаков инфекции легких или других повреждений.
- ЭКГ: Этот тест регистрирует электрическую активность вашего сердца.
Его используют, чтобы определить, является ли сердечное заболевание причиной отека легких. - Эхокардиограмма: Это тип УЗИ, который проводится для определения размера и формы вашего сердца. Медицинские работники могут проверить наличие проблем с сердечными клапанами и признаков сердечной недостаточности. Это может быть сделано, чтобы найти причину отека легких.
Как лечится отек легких?
Лечение будет зависеть от причины отека легких. Если отек легких вызвал большую высоту, симптомы могут исчезнуть, когда вы перейдете на более низкую высоту.Вам также может понадобиться любое из следующего:
- Лекарства:
- Мочегонные средства: Это лекарство применяется для удаления излишков жидкости вокруг легких и снижения артериального давления. Когда вы принимаете это лекарство, вы можете чаще мочиться.
- Сердечное лекарство: Эти лекарства могут быть назначены, чтобы сделать ваше сердцебиение более сильным или более регулярным или снизить кровяное давление.

- Сосудорасширяющие средства: Сосудорасширяющие средства могут улучшить кровоток, расширяя кровеносные сосуды сердца и легких.Это может снизить давление в кровеносных сосудах и улучшить симптомы.
- Опора для дыхания:
- Кислород: Это может помочь вам лучше дышать и снизить давление в легких. Вы можете получить кислород через пластиковую маску или носовую канюлю. Назальная канюля — это пара коротких тонких трубок, которые помещаются в ноздри.
- Неинвазивная вентиляция с положительным давлением (NPPV): Это аппарат, который помогает вашим легким наполняться воздухом через маску или мундштук и помогает вам лучше дышать.Если маска используется, она может касаться носа и рта или только носа. Дополнительный кислород также может подаваться через аппарат.
- Вентилятор: Это аппарат, который может дышать за вас, если вы не можете дышать самостоятельно. У вас может быть эндотрахеальная (ЭТ) трубка во рту или в носу.
Трубка ET прикреплена к вентилятору. Вентилятор также может подавать вам кислород.
Каковы риски отека легких?
- Уровень калия в крови может измениться, что приведет к нарушению сердечного ритма.Ваше сердце может биться слишком быстро или слишком медленно. Если для дыхания вам нужны трубка ЭТ и вентилятор, ваше горло может быть повреждено при установке трубки ЭТ. Вы также можете получить инфекцию легких или носовых пазух, и ваше сердцебиение может стать нерегулярным.
- Без лечения ваши симптомы могут ухудшиться. Вы можете очень устать от недостатка кислорода. Вы можете впасть в кому. Кома — это когда вы не в сознании, и вас невозможно разбудить. Ваше сердце может не качать кровь должным образом, и ваше тело может не получать кислород, необходимый для работы.Если не лечить, отек легких может быть опасным для жизни.
Как я могу справиться с отеком легких или предотвратить его?
- Ограничьте потребление жидкости, как указано: Следуйте указаниям врача о том, сколько жидкости вам следует пить каждый день.
Слишком много жидкости может увеличить риск скопления жидкости. - Взвешивайтесь ежедневно: Взвешивайтесь в одно и то же время каждое утро после мочеиспускания, но перед едой. Увеличение веса может быть признаком избытка жидкости в вашем теле.
- Отдыхайте по мере необходимости: Возвращайтесь к занятиям медленно и делайте больше каждый день. У вас могут быть проблемы с дыханием, когда вы лежите. Используйте клинья из пенопласта или приподнимите изголовье кровати. Это может помочь вам легче дышать во время отдыха или сна. Используйте приспособление, которое будет наклонять все ваше тело или сгибать его в талии. Устройство не должно сгибаться в верхней части спины или шеи.
- Ешьте разнообразную здоровую пищу: Здоровая пища включает фрукты, овощи, цельнозерновой хлеб, нежирные молочные продукты, бобы, нежирное мясо и рыбу.Здоровая пища может уменьшить симптомы и помочь вам набраться энергии. Спросите, нужно ли вам есть продукты с низким или низким содержанием жира.

- Ограничьте или избегайте употребления алкоголя: Вам нужно будет ограничить употребление алкоголя или полностью отказаться от алкоголя. Алкоголь может ухудшить ваши симптомы и повысить кровяное давление. Если у вас сердечная недостаточность, алкоголь может усугубить ситуацию.
- Не курите и не принимайте наркотики: Если вы курите, никогда не поздно бросить курить. Не употребляйте уличные наркотики, например кокаин.Курение и наркотики могут ухудшить ваше состояние и симптомы. Обратитесь за информацией, если вам нужна помощь в отказе от курения.
- Поднимайтесь на большую высоту медленно: Поднимайтесь медленно, чтобы ваше тело могло привыкнуть к большой высоте. Спросите своего лечащего врача о симптомах высокогорного отека легких (HAPE). Спросите, что делать, если у вас появились эти симптомы.
Когда мне следует связаться со своим врачом?
- У вас жар.
- Вы набираете вес по неизвестной причине.

- Вы мочитесь чаще, чем обычно.
- У вас появились новые или увеличенные отеки на ногах или ступнях.
- При дыхании вы слышите новое или усиление хрипов.
- У вас есть вопросы или опасения по поводу вашего состояния или ухода.
Когда мне следует немедленно обратиться за медицинской помощью или позвонить по номеру 911?
- Вы очень быстро дышите, потеете и чувствуете замешательство.
- У вас боль в груди или затрудненное дыхание, которое ухудшается.
- Ваше сердце как бы ходит или трепещет.
- Вы очень мало или совсем не мочитесь.
- Вы откашливаете розовую пенистую мокроту.
- Ваши губы и ногтевые ложа бледные или синие.
Соглашение об уходе
У вас есть право помочь спланировать свое лечение. Узнайте о своем состоянии здоровья и о том, как его можно лечить. Обсудите варианты лечения со своими поставщиками медицинских услуг, чтобы решить, какое лечение вы хотите получать.
Вы всегда имеете право отказаться от лечения. Вышеуказанная информация носит исключительно учебный характер. Он не предназначен для использования в качестве медицинского совета по поводу индивидуальных состояний или лечения.Поговорите со своим врачом, медсестрой или фармацевтом перед тем, как следовать любому лечебному режиму, чтобы узнать, безопасно ли оно для вас и эффективно.© Copyright IBM Corporation 2020 Информация предназначена только для использования Конечным пользователем и не может быть продана, распространена или иным образом использована в коммерческих целях. Все иллюстрации и изображения, включенные в CareNotes®, являются собственностью A.D.A.M., Inc. или IBM Watson Health
, защищенной авторским правом. Дополнительная информация
Всегда консультируйтесь со своим поставщиком медицинских услуг, чтобы убедиться, что информация, отображаемая на этой странице, применима к вашим личным обстоятельствам.
Заявление об отказе от ответственности за медицинское обслуживание
Подробнее об отеке легких
Сопутствующие препараты
Справочная информация клиники Мэйо
.
- Ware LB, Matthay MA.

д.;
Для замедления желудочкового ритма используют бета-облокаторы внутривенно, дигоксин внутривенно или осторожное внутривенное введение блокаторов кальциевых каналов
Как правило, кардиогенный отек связан с инфарктом миокарда.
д.
К появлению тромбов в сосудах склонны те пациенты, которые страдают от гипертонии и/или варикоза. Причём при прогрессии патологии старый тромб может оторваться, а на его месте образуется новый. К лёгочной артерии и её каналам тромб может попасть с кровотоком. Когда диаметр закупорки и сосудистого канала совпадёт, сформируется затор.
Со временем лёгочные альвеолы впитают в себя большое количество сторонней жидкости и потеряют способность участвовать в газообмене. Это причина, из-за которой при отёке лёгких пожилые пациенты испытывают приступы удушья, а их кожа синеет.
Это поможет снизить количество поступающей в лёгочный круг крови.
Вдыхая пары этилового спирта в течение десяти минут, пациент сможет продержаться до приезда врачей скорой помощи. Однако порой реакция на спиртовые пары может быть совсем неожиданной – вместо облегчения больной может почувствовать, что ему не хватает воздуха. В таком случае тампон нужно сразу же убрать от носа.





Морфин снижает отек легких и артериальное давление за счет расширения вен. Морфин следует использовать с особой осторожностью, поскольку он может вызвать угнетение дыхания. Лицевая маска O2 без ребризера на 15 литров может улучшить насыщение кислородом. Если пациент не реагирует на агрессивное лечение, может потребоваться помощь в обеспечении проходимости дыхательных путей.
Клиническая практика. Острый отек легких. N Engl J Med 2005; 353: 2788.
В некоторых других это может быть смертельным даже при лечении
Его используют, чтобы определить, является ли сердечное заболевание причиной отека легких.
Трубка ET прикреплена к вентилятору. Вентилятор также может подавать вам кислород.
Слишком много жидкости может увеличить риск скопления жидкости.
Вы всегда имеете право отказаться от лечения. Вышеуказанная информация носит исключительно учебный характер. Он не предназначен для использования в качестве медицинского совета по поводу индивидуальных состояний или лечения.Поговорите со своим врачом, медсестрой или фармацевтом перед тем, как следовать любому лечебному режиму, чтобы узнать, безопасно ли оно для вас и эффективно.